Как убрать мешки под глазами без операции. Какие процедуры можно называть безоперационной пластикой век?
- Как убрать мешки под глазами без операции. Какие процедуры можно называть безоперационной пластикой век?
- Как убрать возрастные мешки под глазами. Упражнения для устранения мешков под глазами
- Как убрать мешки под глазами в домашних условиях навсегда. Косметика в помощь
- Как убрать мешки под глазами народными средствами. Лучшие натуральные средства, маски
- Как убрать мешки под глазами в 55 лет. Методы устранения мешков под глазами
- Как убрать мешки под глазами за 5 минут
- Как убрать мешки под глазами? Операция, уколы, лазер
- Виды мешков под глазами. Жировые, водянистые и молярные мешки под глазами
Как убрать мешки под глазами без операции. Какие процедуры можно называть безоперационной пластикой век?
Самым эффективным и классическим вариантом блефаропластики без операции является коррекция СО2 лазером ( лазерная блефаропластика ). Под действием лазерного луча кожа фракционно выпаривается и сжимается, таким образом уменьшается её площадь и проявление нависания и обвисания. Именно этот вариант коррекции предлагают наши косметологи. Реабилитация – от 4 до 8 дней, эффективность – 5 (из 5), курс – 1-2 процедуры в 10-15 месяцев.
Контурная пластика области нижнего века хорошо помогает в случае проявления носослёзной борозды. Ни с потерей тонуса кожи, ни в случае с мешками под глазами эта процедура не поможет. По сути, эту процедуру нельзя назвать блефаропластикой, поскольку воздействие осуществляется не на кожу век. Реабилитация – отсутствует, эффективность – 3 (из 5), разовая процедура.
Термаж или ультразвуковая подтяжка также не являются блефаро-процедурами, поскольку воздействие осуществляется на глубокие слои, процедура хороша для лифтинга овала лица в целом, однако локально на области верхнего или нижнего века результатов не дают. Более того, в этих зонах опасно проводить эти ультразвуковые воздействия. Эффективность – 1 (из 5), разовая процедура.
Мезотерапию, коллагеновые инъекции и «уколы красоты» чаще всего применяют при начальных стадиях возрастных проблем, когда плотность и эластичность кожи ещё не сильно нарушена. Чаще всего упоминают препарат Mesoeye С71, который обычно вводят инъекционно в область нижнего века. Как часть комплексной коррекции, мезотерапия действительно вносит свой вклад в улучшение состояния кожи, улучшает микроциркуляцию, однако самостоятельно решить проблемы птоза верхнего века или убрать мешки под глазами не может. Курс – 2-5 процедур в год. Эффективность – 3 (из 5) в начальной и средней стадии. Инъекции коллагена и биоревитализация никак не помогут решить проблемы верхнего и нижнего века. Эффективность – 0 (из 5).
Пилинги кислотные, химические работают только в случае необходимости работы с качеством кожи. Убрать лишнюю кожную ткань, исправить нависание верхнего века или мешки под глазами пилинги не в состоянии. Эффективность – 1 (из 5).
Как убрать возрастные мешки под глазами. Упражнения для устранения мешков под глазами
Состояние кожи в периорбитальной зоне выдает самые сокровенные женские тайны. Появление мешков свидетельствует о нездоровом образе жизни, злоупотреблении алкоголем и бессонных ночах, является проявлением возрастных изменений. Избавиться от отечности, вернуть подтянутость и молодость коже позволит легкая гимнастика. При условии правильного выполнения упражнений эффект проявляется моментально.
Причины появления отечности на скулах
В периорбитальной зоне довольно часто скапливается излишек рыхлой подкожно-жировой клетчатки. Результат – выраженная припухлость.
Неприятный дефект может проявиться из-за:
- генетической предрасположенности;
- патологий сердца и сосудов;
- курения, употребления алкоголя, неправильного питания;
- другие факторы.
Независимо от причины косметический дефект можно корректировать. Если мешки под глазами являются врожденной особенностью, поможет хирургическая операция . В других случаях, припухлость устранит регулярное выполнение специально разработанного комплекса упражнений.

Эффективная гимнастика для лица
Фейсфитнес стремительно набирает популярность. Это неудивительно – регулярные занятия укрепят круговые мышцы вокруг глаз, нормализуют лимфоток, уберут отеки, уменьшат морщины и темные круги. Не понадобятся ни косметологические средства, ни дополнительные инструменты.

Комплекс упражнений от малярных мешков
- Разминка
Делают повороты вправо и влево, затем кивки головой вперед и назад. Все движения плавные и аккуратные.
- Воздействие на кожу вокруг глаз
Указательными пальцами прижать кожу под внешними уголками глаз. Зафиксировать руки в одном положении. Медленно зажмурить глаза, затем расслабиться и снова зажмуриться. Во время выполнения этого упражнения под пальцами должна ощущаться легкая пульсацию. Повторить до 15 раз.
- Воздействие на круговые мышцы вокруг глаз
Указательные пальцы переместить на брови. Зафиксировать положение рук. Сильно зажмурить глаза на 10 секунд. Открыть и расслабиться на 20 секунд. Снова зажмуриться после отдыха. Упражнение заставляет работать только круговые мышцы. Повторить 8-10 раз.

- Активное моргание
Гимнастику завершает активное моргание в течение 10 секунд. После – расслабление. Необходимо согреть ладони и приложить к закрытым глазам, почувствовать их тепло и подумать о хорошем.
Фейсфитнес делают ежедневно утром и вечером. Результат занятий заметен уже через 30 дней. Занятия можно активно совмещать с другими упражнениями для глаз, что только повысит их эффективность.
Советы пластического хирурга
Малярные мешки под глазами ухудшают внешний вид, добавляют возраста и не маскируются косметическими средствами. Чтобы гимнастика имела положительную динамику, важно придерживаться рекомендаций косметологов:
- обеспечить ночной сон не менее 7-8 часов;
- питаться правильно – ввести в рацион максимум овощей и фруктов;
- отказаться от вредных привычек;
- следить за весом;
- использовать качественную косметику для ухода за кожей вокруг глаз.
Если гимнастика не результативна, стоит проконсультироваться у пластического хирурга. Врач оценит ситуацию с профессиональной стороны и определит наличие показаний к хирургическому вмешательству. Блефароплатика и удаление малярных мешков позволят вернуть красоту и молодость быстро и безопасно.
Как убрать мешки под глазами в домашних условиях навсегда. Косметика в помощь
Если причина развития отёчности под глазами кроется не во внутренней патологии, а в потере упругости и эластичности кожи, то можно воспользоваться специальными косметическими средствами. Их действие направлено, в первую очередь, на усиление оттока лишней жидкости из области вокруг глаз, а также на повышение упругости кожи.
В состав косметических средств этой группы обязательно должен входить коллаген, экстракт кофе, эластин, гиалуроновая кислота и экстракты некоторых лекарственных растений ( шалфея , полевого хвоща , ромашки и петрушки ).
Если не имеется никакой гиперчувствительности к эфирным маслам, то возможно их использование в качестве питательного средства для кожи вокруг глаз. Хорошим вариантом является эфирное масло лесного ореха, имбиря и миндаля.
В домашних условиях можно воспользоваться следующим простым средством: заранее подготовить кубики льда из обычной питьевой воды либо из отваров лекарственных трав и протирать область вокруг глаз сразу же после утреннего пробуждения, только в этом случае наступит ожидаемый результат. Холод обладает тонизирующим эффектом и оказывает стимулирующее действие на лимфоток в проблемных зонах.
Если вам не хочется уделять время приготовлению льда, то всегда можно найти в продаже специальные гелевые маски, которые подлежат заморозке и дальнейшему накладыванию на лицо. Эффект от такой ледяной маски наступает буквально за считанные минуты.
Применение масок должно сочетаться с ежедневным нанесением хорошего крема для кожи вокруг глаз. Такие кремы являются отличным дополнением к проведению косметических процедур, а также способны самостоятельно оказывать тонизирующее действие на кожу проблемных мест. Чтобы кожа вокруг глаз долгое время не теряла своей упругости и эластичности, она нуждается в ежедневном увлажнении. Это является отличной профилактикой возникновения мимических и глубоких морщин.
Как убрать мешки под глазами народными средствами. Лучшие натуральные средства, маски
С помощью масок можно снять припухлость с лица, вернуть лицу прежние очертания. Ингредиенты для масок обычно всегда присутствуют у любой хозяйки на кухне.
Как снять отек глаза в домашних условиях:
Убрать мешки под глазами народными средствами: лучшие натуральные средства и маски
Мешки под глазами - это общая проблема, с которой сталкиваются многие люди. Однако, с помощью масок и натуральных средств, можно снять припухлость с лица и вернуть ему прежние очертания.
Маски для лица из натуральных ингредиентов - это идеальный способ, чтобы снять отек глаза в домашних условиях. Вам не нужно тратить деньги на дорогие косметические средства, а также не нужно беспокоиться о возможных аллергических реакциях.
Маска из яичного желтка и сметаны
Вам потребуется:
- 1 яичный желток
- 1 ст. ложка сметаны
Мешайте ингредиенты до однородной массы, нанесите на лицо и оставьте на 15-20 минут. Затем смойте с лица и помойте лицо прохладной водой.
Маска из моркови и меда
Вам потребуется:
- 1 морковь, измельченная
- 1 ст. ложка меда
Мешайте ингредиенты до однородной массы, нанесите на лицо и оставьте на 15-20 минут. Затем смойте с лица и помойте лицо прохладной водой.
Маска из алоэ и йогурта
Вам потребуется:
- 1 ст. ложка алоэ
- 1 ст. ложка йогурта
Мешайте ингредиенты до однородной массы, нанесите на лицо и оставьте на 15-20 минут. Затем смойте с лица и помойте лицо прохладной водой.
Вам не нужно покупать дорогие косметические средства, чтобы снять отек глаза. Вам доступны натуральные ингредиенты, которые всегда есть у любой хозяйки на кухне. Используйте их, чтобы вернуть лицу прежние очертания и снять припухлость.
- Отварной картофель в "мундире". Очистить, измельчить, смешать с теплым молоком при помощи блендера; положить на кожу лица и оставить минут на 20, на полчаса.
- Сырой картофель. Натереть на терке, добавить ложку муки (гречневой, ржаной, пшеничной), ложку подогретого молока; распределить массу по лицу и оставить на 20 минут. Эффект от картофельных масок усилится, если добавить в них петрушку. Крахмал в составе маски, а также витамины группы В быстро справятся с проблемой.
- Кислая капуста. Отжать сок из квашеной капусты, соединить капусту с измельченной картофелиной, наложить на отекшие участки кожи, минут на десять. После процедуры воздействия народными средствами отеки глаз исчезают, лицо становится чистым, проблемные области разглаживаются.
- Огурец. Прекрасный увлажняющий, отбеливающий, тонизирующий овощ; насыщает кожу микроэлементами. Для жирной кожи в огуречную массу хорошо добавить несколько капель лимонного сока. Для склонной к сухости кожи - оливкового масла. Нанести маску на отечные места на несколько минут; умыться прохладной водой.
- Огурец и сметана. Тертый огурец и чайную ложку петрушки смешать, добавить сметаны для создания кремообразной консистенции и оставить на лице в течении 20 минут. Умыться теплой водой.
- Яблоки. Маска содержит витамин С, улучшающий функции кожи; достаточно ее воздействия около 15 минут.
- Орехи. Грецкие орешки в объеме двух столовых ложек измельчить в муку, добавить немного сливочного масла и пару капель лимонного сока. Маску оставляют на 30 минут; смывают.
- Клубника. Три ягоды измельчить, добавить ложку оливкового масла, такое же количество меда. Полученную массу распределить по коже лица, оставить на 20 минут. Сполоснуть теплой водой.
- Творог с петрушкой. Зелень измельчить, добавить протертого творога, чайную ложку молока. Нанести полученную смесь под глаза, через полчаса удалить.
- Гречка. Гречневую крупу смолоть в кофемолке, порошок поместить в тканевый мешочек, опустить на минуту в кипяток, затем отжать и в теплом состоянии приложить к отекшей поверхности. Наблюдается очень скорый результат.
- Кофе. Маска в виде кофейной гущи или более сложного состава: ложка молотого кофе, ложка порошка какао, 2 ложки йогурта без наполнителей, 2 чайных ложки лимонного сока смешать, положить тонким слоем на кожу. Если кожа сухая - вместо лимона положить в состав мед, а оливковое масло заменить более жирным.
- Мед. Смешать по ложке муки, меда, добавить белок яйца. Нанести смесь на участки под глазами. Удалять маску водой или отваром ромашки.
Как убрать мешки под глазами в 55 лет. Методы устранения мешков под глазами
Если в борьбе с «отечными» мешками под глазами могут помочь справиться нормализация образа жизни, народные рецепты и косметические средства, то грыжевые мешки возможно убрать только с помощью хирургической коррекции нижних век - блефаропластики .
Нижняя блефаропластика – метод хирургического устранения избытков периорбитальной клетчатки в области нижних век. Со временем, когда мешки под глазами становится невозможно скрыть никакими косметическими средствами, только пластическая хирургия поможет вернуть глазам молодость и здоровый вид.
С учетом анатомической природы нижних век и их важной функции в защите глаз, хирургическое вмешательство должно проводиться крайне осторожно, чтобы не повредить мягкотканые структуры.
Нижняя блефаропластика обычно выполняется под местной анестезией, ее продолжительность составляет в среднем от 30 минут до 1 часа на каждом веке.
При легкой степени деформаций нижнего века дефекты устраняются методом бесшовной трансконъюнктивальной блефаропластики , с доступом через конъюнктиву, непосредственно прилегающую к глазному яблоку. Плюсом данной методики является отсутствие швов на коже век.
При более выраженных мешках под глазами удаление жировых грыж проводят традиционную шовную блефаропластику . Разрез осуществляется по краю нижнего века наружным чрескожным доступом. Также при этом экономно иссекается лишняя кожа. Швы снимают через 3 дня, рубец незаметен уже спустя месяц. К проведению шовной блефаропластики обычно прибегают у пожилых пациентов, кожа которых с возрастом утратила эластичность.
В последние годы в пластике нижних век все большее распространение получает внутриротовая блефаропластика, позволяющая не удалять жировую периорбитальную клетчатку, а перераспределять ее в область нижнего края орбиты и слезной борозды. Для наложения швов используются тонкие нерассасывающиеся нити, которые снимают спустя несколько дней.
Течение послеоперационного периода сопровождается наличием отека и гематом нижних век, выраженность и продолжительность которых могут варьировать в зависимости от индивидуальных особенностей пациента. В среднем реабилитационный период занимает 10-12 дней.
После проведения блефаропластики нижних век наблюдается стойкий косметический эффект в течение 12 лет. Однако удаление мешков под глазами не устраняет старения кожи в периорбитальной области, что приводит со временем к образованию складок.
Как убрать мешки под глазами за 5 минут
Проверенным способом считается контрастное умывание лица.
- Лучше делать его с утра, после гимнастики, чтобы кожа успела разогреться и улучшилась микроциркуляция тканей. Начните с теплой воды, постепенно добавляя горячую. Затем ополосните лицо прохладной водой, после этого – горячей.
Умывайтесь водой разной температуры попеременно, не больше трех раз. Ополаскивание горячей водой должно быть больше по времени, чем холодной. Завершите процедуру умыванием водой холодной температуры.
- Убрать мешки под глазами помогут обычные кубики изо льда. Пройдитесь кубиками по массажным линиям в области вокруг глаз: от виска к переносице под нижним веком и от носа к внешнему уголку глаза сверху. Такой массаж быстро стимулирует кровообращение в тканях век, сделает кожу свежей и подтянутой.
- Охладите металлические ложки в морозильнике и приложите к глазам на несколько минут. Холод способствует снятию отека глаз, тонизирует кожу тонкую кожу век.
- Эффективно снимают припухлости вокруг глаз чайные пакетики. Поместите два пакетика с черным или зеленым чаем в теплую воду, охладите, выжмите лишнюю жидкость и положите на закрытые глаза на 5 минут. Экспресс-метод уменьшит отек глаз и подтянет кожу.
- Многим в борьбе с мешками под глазами помогают ломтики свежего огурца или сырого картофеля, приложенные к векам на несколько минут. Натуральные средства освежают кожу и предупреждают образование морщинок.
- Холодные ванночки укрепляют сосуды и улучшают кровообращение. Погрузите лицо в холодную воду, широко распахните глаза, затем поднимите голову и поморгайте несколько секунд. Повторить последовательность действий два или три раза. Процедура показана для здоровых глаз.
- Можно сделать массаж от отеков под глазами .
Как убрать мешки под глазами? Операция, уколы, лазер
Остановить процесс старения нельзя, но замедлить — можно. В клинике доктора Листратенкова в Москве предлагают:
- Контурную пластику . Это инъекции гиалуроновой кислоты в проблемную область. После процедуры кожа светлеет, становится упругой, исчезают морщины и складки. Эффект виден через 5–6 дней и сохраняется несколько месяцев.
- Мезонити . В кожу вживляется «каркас» из тончайших волокон. Изготовлены они из шовного материала. Вдоль нитей образуется внутренний рубец. Со временем волокна рассасываются, а уплотнения остаются. Они удерживают веки от провисания, устраняют мешки под глазами. Операция стимулирует выработку коллагена, омолаживает кожу. Эффект сохраняется до 2 лет.
- Фотоомоложение . Кожу обрабатывают различными источниками света. Это не ультрафиолет, процедура безвредна. Фотоомоложение стимулирует синтез коллагеновых волокон, подтягивает кожу, убирает морщины. Результат сохраняется от 6 месяцев до года.
- Лазерную шлифовку век . Луч испаряет поверхность кожи, но не проникает в ее глубокие слои. Такая «шоковая терапия» стимулирует регенеративные процессы. Кожа подтягивается, исчезают темные пятна. Полностью шлифовка мешки не уберет, но сделает их намного меньше. Эффект длится от 5 до 7 лет.
- Все виды блефаропластики , в том числе лазерную . Операция по удалению мешков под глазами решает проблему кардинально. Хирург устраняет избыток жировой ткани, подтягивает кожу век и мышцы. Процедура малоинвазивна, рассечения минимальны. Врач делает надрезы или в области роста ресниц, или в конъюнктиве глаз. Заметных шрамов и рубцов после них не остается. В случае лазерной операции обходятся вовсе без разрезов. Максимальный реабилитационный период длится несколько недель, при лазерной методике — меньше. Когда швы заживут, вы сможете оценить финальный результат: морщины разгладятся, провисания и отеки полностью исчезнут.
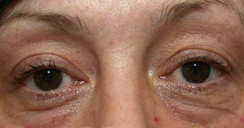
Виды мешков под глазами. Жировые, водянистые и молярные мешки под глазами

- наследственная предрасположенность к образованию грыж и отеков;
- особенности строения костей, формирующих глазницу;
- сложность избавления от дефекта.
Состояние нижних век в немалой степени влияет на внешний вид человека, выдавая возраст (иногда и добавляя несколько лет) и придавая лицу болезненный, а чаще неухоженный вид. Мешки и круги под глазами непросто скрыть, ведь косметика не всегда с этой задачей справляется, и человеку ничего не остается, как спрятаться за очками с темными стеклами. Внешне мешки под глазами у разных людей выглядят одинаково и представляют собой припухлость, в большей или меньшей степени нависающую над нижним краем глазницы . В действительности существует два вида мешков: одни возникают из-за скопления жидкости (отек), а другие появляются вследствие разрастания подкожной жировой клетчатки, причем каждый из них имеет собственный механизм появления и особенности развития. Говоря о проблеме, нельзя оставить без внимания еще один вид образований – малярные мешки под глазами, хотя к области под глазами они отношения не имеют и возникают в результате деформации тканей, лежащих на границе скулы и нижней части глазницы. Узнайте больше о мешках под глазами.

Мешки под глазами: Водянистые мешки под глазами
Отечные мешки под глазами могут выступать как самостоятельные образования, так и дополнять жировые грыжи. Жир имеет рыхлую структуру и самой природой ему отведена роль аккумулятора воды в организме. При задержке жидкости (склонности к отекам вследствие проблем с почками, например) часть ее попадает в жировую клетчатку, расположенную под веками, увеличивая тем самым ее объем и заставляя «вываливаться» за границы, очерченные глазничной костью. Если отек дополняет уже имеющуюся жировую грыжу, то образуется мешок впечатляющих размеров! Обычно образования, появление которых спровоцировано задержкой жидкости, проявляются после сна и быстро проходят . Ускорить процесс можно, используя компрессы из отваров чая, ромашки, петрушки или проведя легкий массаж нижнего века кончиками пальцев с целью активизировать микроциркуляцию крови и лимфы, что позволит немного «подсушить» или дренировать ткани. С одной стороны, от припухлостей обусловленных отеками избавиться несложно, но, к сожалению, отечные мешки – это зачастую не просто косметический дефект: их регулярное появление является поводом к обследованию внутренних органов, особенно почек, мочевого пузыря и печени .

Жировые мешки (грыжи) под глазами
Жировые мешки под глазами и в области верхнего века образуются из-за снижения эластичности кожи периорбитальной зоны, которую, в свою очередь, провоцирует постоянная мимическая нагрузка. Кроме того, кожа век растягивается и провисает, увлекаемая вниз силой тяжести (птоз), в результате под кожей образуются свободные пространства, куда тут же устремляется подкожная жировая клетчатка, находящаяся в периорбитальной зоне.

Теоретически ее должна удерживать мембрана, отделяющая жировую ткань от кожи, но она с возрастом утрачивает эту способность из-за потери эластичности. Кстати , только в конце XX века врачи-косметологи отказались от операции по ушиванию мембраны , когда поняли, что не только ее ослабление влияет на образования грыж в зоне вокруг глаз.

Малярные мешки под глазами.
В отличие от жировых и «водяных» образований этот вид образований под глазами является исключительно косметическим недостатко м и не какой связи с патологиями внутренних органов не имеет. Собственно, и мешками под глазами эти образования, называемые специалистами скуловыми грыжами или суфами, называть некорректно, ведь они образуются из-за избытка или недостатка подкожной жировой клетчатки в области скул и на границе скуловой и глазничной областей. Узнайте больше о малярных мешках (причинах появления, симптомах и методах избавления от дефекта).

Все перечисленные виды мешков под глазами объединяют:
Хотя сегодня существуют довольно эффективные косметологические методики подтяжки кожи нижних век, обеспечить пролонгированный эффект могут только хирургические методы коррекции , особенно если речь идет о жировых грыжах и малярных мешках под глазами. Узнайте больше о лечении мешков под глазами.


